Servicios

Ícono de diente
Servicio implantes dentales
Blanqueamiento dental

El blanqueamiento o aclaramiento dental es un tratamiento que consta de dos fases; una llevada a cabo en consultorio y la segunda es en casa mediante los agentes blanqueadores que proporcionan nuestros especialistas.

Servicio protesis dentales
Ortodoncia

La ortodoncia es una especialidad de la odontología encargada de dar función y estética mediante alineación de dientes, así como tratar las diferentes alteraciones de la articulación temporomandibular.


Servicio ortodoncia
Carillas dentales

La carilla dental es una fina lámina de porcelana encargada de cambiar forma y tamaño al diente, devolviendo función y estética al paciente. Dependiendo el caso se determina cuántas carillas se requieren para tener un diseño de sonrisa adecuado.

Servicio resinas dentales
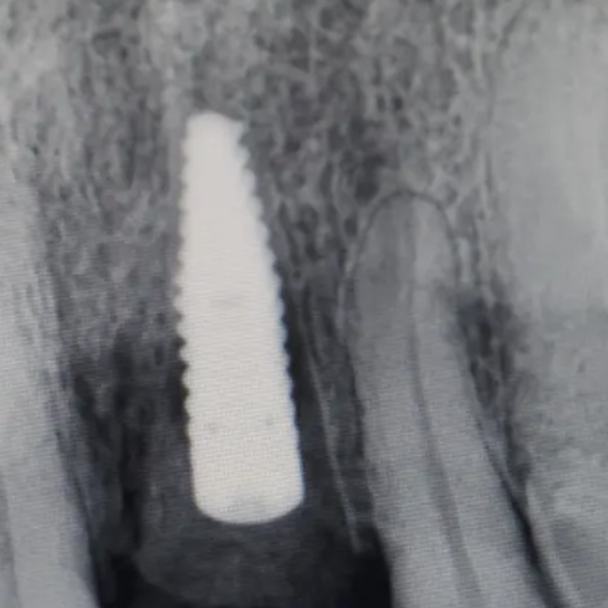
Implante dental

El implante dental es un dispositivo de titanio, que se sitúa en el hueso maxilar, sustituyendo un diente perdido, mediante este se coloca la corona para sustituir la función y estética de la pieza.


Servicio ortodoncia
Limpieza dental

Es un tratamiento que se recomienda llevarlo a cabo dos veces al año, mediante este, se retira sarro, placa dentobacteriana y algunas manchas originadas por el tipo de dieta diaria, en pacientes fumadores se recomienda que sea cada 4 meses para un mejor control. Además, en la cita de limpieza dental se explica técnica de cepillado y aditamentos que nos ayudan a tener una mejor higiene.

Nosotros

Ícono de diente
En Saiden, nos apasiona cuidar de tu salud bucal y devolverte la confianza en tu sonrisa. Contamos con años de experiencia ofreciendo servicios dentales de calidad, que van desde limpiezas y tratamientos preventivos hasta ortodoncia y estética dental.
  • Trato personalizado: Escuchamos tus necesidades y diseñamos soluciones a tu medida.
  • Tecnología avanzada: Utilizamos equipos modernos para garantizar tratamientos cómodos y efectivos.
  • Compromiso con tu salud: Nuestro objetivo es ayudarte a mantener una sonrisa saludable y hermosa.

Encuentranos en

Ícono de diente

311 124 8865

311 162 0929

Calzada del ejercito No. 280 Plaza La Loma Local 16-B, Colonia Infonavit el Tecolote

Saiden Odontología Integral

saiden.edontologia@gmail.com